Miíase Oral: Causas, Sintomas e Tratamentos Eficazes
Infestação por Larvas de Mosca na Boca: Como Identificar e Tratar a Miíase Oral
12/02/2025
5 min ler
O que é Miíase Oral?
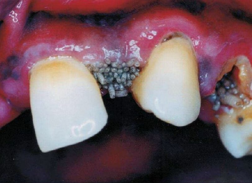
A miíase oral é definida como a infestação de larvas de moscas em cavidades orais ou no tecido intraoral. Essa condição ocorre principalmente em regiões tropicais e subtropicais, onde determinadas espécies de moscas são abundantes. O termo "miíase" origina-se do grego "myia", que significa "mosca", e descreve essencialmente a interação entre os insetos e os tecidos vivos. Os tipos mais comuns de moscas que podem levar à miíase oral incluem a Lucilia sericata e a Musca domestica, que são atraídas por bactérias presentes em feridas ou restos orgânicos, criando um ambiente propício para a ovoposição.
Reconhecer os sinais da miíase oral é fundamental, pois a infestação pode causar sérios danos à saúde bucal e geral dos indivíduos. Os sintomas frequentemente incluem dor intensa, inflamação, e a presença visível de larvas, além de mau cheiro oriundo da infecção. Em casos avançados, pode haver comprometimento do tecido que, se não tratado, pode levar a complicações sistêmicas mais severas. A condição não afeta apenas a cavidade oral, mas pode também ter repercussões na qualidade de vida do paciente, limitando a alimentação e a interação social.
A importância de reconhecer precocemente a miíase oral reside no fato de que um tratamento adequado e atempado pode minimizar os riscos à saúde do paciente. Dessa forma, é essencial que profissionais de saúde, especialmente dentistas e médicos, estejam cientes das manifestações clínicas da miíase oral, para que possam intervir de maneira eficaz e orientar os pacientes sobre prevenção e cuidados de saúde bucal.
Causas da Miíase Oral
A miíase oral, uma condição caracterizada pela infestação de larvas nos tecidos orais, pode ter várias causas subjacentes que facilitam o seu desenvolvimento. Uma das principais causas é a falta de higiene bucal. A higiene inadequada pode resultar na presença de resíduos alimentares, que, por sua vez, atraem insetos que depositam seus ovos na cavidade bucal. A ausência de uma rotina de cuidados dentários rigorosa contribui significativamente para o aumento do risco de miíase oral.
Além disso, lesões orais, como cortes, feridas ou úlceras, são catalisadoras frequentes para a infestação de larvas. Essas lesões podem resultar de traumas, intervenções odontológicas ou condições médicas pré-existentes que afetam a saúde bucal. Ao criar um ambiente propício para a entrada de ovos de moscas, é essencial tratar adequadamente qualquer ferimento para evitar a miíase oral.
Condições de saúde subjacentes também desempenham um papel crucial. Pacientes immunocomprometidos, como aqueles com doenças crônicas ou os que estão em tratamento intensivo, têm um sistema de defesa enfraquecido, tornando-os mais suscetíveis à infecção. Além disso, o ambiente em que os indivíduos vivem pode influenciar na incidência dessa condição. Ambientes insalubres, onde a higiene é deficiente e a exposição a insetos é maior, são fatores que elevam a probabilidade da miíase oral. Populações específicas, como idosos que frequentemente apresentam dificuldade em realizar uma higiene bucal adequada, estão em alto risco. Portanto, a conscientização sobre as causas da miíase oral é fundamental para a prevenção e tratamento eficaz dessa condição desagradável.
Sintomas de Miíase Oral
A miíase oral é uma condição caracterizada pela infecção causada por larvas de moscas que se desenvolvem em tecidos bucais. Os sintomas clínicos dessa condição podem variar em intensidade e podem se manifestar através de sinais visíveis e sintomas sistêmicos. Uma das características mais evidentes da miíase oral é o inchaço na região afetada. Este inchaço pode ocorrer nas gengivas, língua ou outras partes da boca, resultando em desconforto significativo para o paciente.
Outra manifestação típica é a dor local, que pode ser persistente e debilitante, dificultando o ato de comer ou falar. Além do inchaço e da dor, o exsudato, ou secreção purulenta, muitas vezes acompanha esses sintomas. A presença de exsudato pode indicar uma infecção secundária e aumenta o risco de complicações, caso não seja tratada adequadamente.
Além dos sinais locais, os sintomas sistêmicos também são comuns. Pacientes afetados pela miíase oral podem apresentar febre, um sinal de que o corpo está reagindo à infecção. A febre, acompanhada de mal-estar, perda de apetite e fadiga, indica a gravidade da infecção e a necessidade de intervenção médica. O reconhecimento precoce destes sintomas é fundamental para um diagnóstico eficaz e para o início imediato do tratamento. Ignorar esses sinais pode levar a complicações sérias, como a propagação da infecção para outras áreas do corpo, necessitando de medidas terapêuticas mais agressivas.
Portanto, é vital que os indivíduos sejam informados sobre os sintomas associados à miíase oral, permitindo uma detecção precoce e, consequently, um tratamento adequado e eficaz.
Tratamentos Eficazes para Miíase Oral
A miíase oral, uma condição causada pela infestação de larvas de moscas em tecidos orais, pode levar a complicações sérias se não for tratada de forma adequada. O tratamento varia conforme a gravidade da infecção e a localização das larvas. A abordagem inicial e mais comum envolve a remoção manual das larvas. Este procedimento deve ser realizado por um profissional de saúde qualificado, que utilizará instrumentos adequados para garantir a completa retirada das larvas e minimizar o risco de dano aos tecidos circundantes.
Após a remoção, é importante realizar uma avaliação clínica para determinar a necessidade de tratamento adicional. Em alguns casos, a administração de medicamentos antiparasitários pode ser necessária para eliminar quaisquer larvas remanescentes e prevenir novas infecções. Antibioticoterapia pode ser indicada para tratar ou prevenir infecções bacterianas secundárias que podem surgir devido a lesões no local da infestação.
A prevenção é um componente vital no manejo da miíase oral. Incentivar a boa higiene oral e a limpeza adequada das áreas suscetíveis pode reduzir o risco de infestações. Para indivíduos com alta suscetibilidade, é recomendável realizar consultas regulares com um dentista ou profissional de saúde para monitoramento e avaliação. Em casos em que a infestação é recorrente, uma investigação mais aprofundada para identificar fatores adicionais que possam contribuir para a condição deve ser considerada.
Os cuidados pós-operatórios são igualmente cruciais. Após a remoção das larvas, o paciente deve seguir as orientações médicas, que podem incluir aplicações tópicas de antisepticos e a utilização de medicamentos para controlar a dor e a inflamação. Além disso, o paciente deve ser informado sobre sinais de complicação, como aumento da dor, inchaço ou secreção, que podem indicar uma infecção e requerer atenção médica imediata.

